Οι ανευρυσματικές οστικές κύστεις (ABCs) είναι καλοήθεις (όχι καρκινικές) αλλοιώσεις στα οστά, που ονομάζονται επίσης καλοήθεις όγκοι των οστών.
Αν και οι ανευρυσματικές κύστεις δεν είναι καρκίνος, μπορούν να είναι πολύ καταστροφικές για τα οστά και να προκαλέσουν πόνο ή παθολογικά κατάγματα (κατάγματα στα οστά που προκαλούνται από ασθένεια και όχι από τραυματισμό). Είναι πιο συχνά στα παιδιά παρά στους ενήλικες, και εμφανίζονται συνήθως μέσα στα πρώτα 20 χρόνια της ζωής.
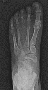
Οι ανευρυσματικές οστικές κύστεις μπορούν να εμφανιστούν σε οποιοδήποτε οστό του σώματος, αλλά συχνότερα βρίσκονται σε περιοχές γύρω από το γόνατο, τον ώμο, τη λεκάνη και τη σπονδυλική στήλη. Συνήθως ανακαλύπτονται με ακτινογραφία. Μπορεί να αναγνωριστούν τυχαία λόγω τραυματισμού ή μπορεί να αναγνωριστούν λόγω πόνου και πρηξίματος στην πάσχουσα περιοχή. Μερικές φορές, οι ανευρυσματικές κύστεις ανακαλύπτονται όταν το οστό σπάσει λόγω της λέπτυνσης και της αποδυνάμωσης της κύστης.
Ορισμένες ανευρισματικές κύστεις είναι πιο επιθετικές από άλλες και μπορούν να προκαλέσουν σημαντική καταστροφή του οστού.
Περιγραφή
Οι ανευρυσματικές οστικές κύστεις είναι σπάνιοι σκελετικοί όγκοι, που επηρεάζουν λιγότερους από 1 στους 100.000 ανθρώπους ετησίως και αντιπροσωπεύουν το 1 έως 2% όλων των πρωτοπαθών οστικών όγκων.
- Οι ανευρυσματικές κύστεις επηρεάζουν τα παιδιά συχνότερα από τους ενήλικες, με ελαφρώς υψηλότερη συχνότητα εμφάνισης στις γυναίκες.
- Οι περισσότερες είναι κοίλες και γεμίζουν με σάκους διαφορετικού μεγέθους, που ονομάζονται κύστεις. Κάθε κύστη έχει μια επένδυση, γεμάτη με αίμα και σωματικά υγρά, που μπορεί να αλλάξει το σχήμα και την αντοχή του φυσιολογικού οστού. Αυτό καθιστά το οστό πιο επιρρεπές σε κατάγματα.
- Ένα μικρό ποσοστό τους είναι συμπαγείς.
- Οι περισσότερες σχηματίζονται κοντά σε πλάκες ανάπτυξης (οι περιοχές στα άκρα των μακριών οστών σε παιδιά και εφήβους που επιτρέπουν στα οστά να μεγαλώνουν περισσότερο)
- Τα περισσότερες εμφανίζονται σε ένα μόνο οστό.
Ενώ μπορεί να εμφανιστούν σε οποιοδήποτε οστό, οι ανευρυσματικές κύστεις βρίσκονται συχνότερα σε:
- Το μηριαίο οστό
- Η κνήμη (κνήμη)
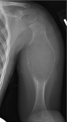
- Το βραχιόνιο οστό (το μακρύ οστό στο χέρι που εκτείνεται από τον ώμο μέχρι τον αγκώνα)
- Οι σπονδυλικοί σπόνδυλοι (οστά στη σπονδυλική στήλη)

Αναπαραγωγή από LeeDH, Hills, JM, JordanovMI, Jaffe, KA: Κοινοί Όγκοι και Όγκοι-Μοιες Βλάβες του Ώμου. JAmAcadOrthopSurg 2019; 27(7):236-245.
Αιτία
Οι γιατροί δεν γνωρίζουν τι προκαλεί τις ανευρυσματικές οστικές κύστεις. Πιστεύεται ότι εμφανίζονται καθώς το οστό αναπτύσσεται, καθώς συχνά βρίσκονται κοντά στις πλάκες ανάπτυξης.
Μερικές φορές, μια ανευρυσματική κύστη μπορεί να αναπτυχθεί ως αντίδραση σε έναν άλλο καλοήθη όγκο των οστών, όπως ένα χονδροβλάστωμα , ένα μη οστεοποιητικό ινόμημα ή έναν γιγαντοκυτταρικό όγκο . Αυτή ονομάζεται δευτεροπαθής ανευρυσματική κύστη οστών και μπορεί να είναι πιο δύσκολο να διαγνωστεί.
Συμπτώματα
- Οι ασθενείς μπορεί να εμφανίσουν πόνο και πρήξιμο σε κάποιο οστό ή άρθρωση. Συχνά, ο πόνος ξεκινά χωρίς τραυματισμό ή τραύμα. Ο πόνος ή το πρήξιμο μπορεί να αναπτυχθεί σταδιακά και να επιδεινωθεί με την πάροδο του χρόνου.
- Οι ασθενείς μπορεί να έχουν δυσκαμψία ή μειωμένο εύρος κίνησης στο χέρι, το πόδι, το χέρι ή το πέλμα.
- Μερικές φορές, ένα κάταγμα οστού είναι το πρώτο σημάδι ότι ένα άτομο έχει κάταγμα ανευρυσματικής κύστης. Το άτομο μπορεί να αισθανθεί ένα κροτάλισμα όταν σπάσει το οστό. Μερικές φορές υπάρχει πόνος πριν από το κάταγμα, αλλά όχι πάντα. Η ανευρυσματική κύστη ανακαλύπτεται στη συνέχεια όταν το άτομο πηγαίνει στα επείγοντα για να αντιμετωπίσει το κάταγμα.
- Εάν βρίσκεται στη σπονδυλική στήλη, οι ασθενείς μπορεί να εμφανίσουν πόνο στην πλάτη ή τον αυχένα, νευρικό πόνο που ακτινοβολεί (εξαπλώνεται) στα χέρια ή τα πόδια ή δυσκολία στη χρήση της τουαλέτας.
- Μερικές φορές, δεν υπάρχουν συμπτώματα και η ανευρυσματική κύστη ανακαλύπτεται τυχαία, όπως κατά τη διάρκεια μιας συνήθους επίσκεψης σε γιατρό ή σε μια ακτινογραφία που λαμβάνεται για την επιβεβαίωση ενός τραυματισμού.
Εξέταση γιατρού
Σωματική εξέταση
Ο γιατρός σας ή του παιδιού σας θα σας μιλήσει για τη γενική υγεία και το ιατρικό ιστορικό του και θα σας ρωτήσει για τα συμπτώματα. Θα εξετάσει την περιοχή που σας απασχολεί και θα αναζητήσει:
- Πρήξιμο
- Ακαμψία
- Οποιαδήποτε σημάδια παραμορφώσεων
- Μειωμένο εύρος κίνησης
- Πόνος
- Μια μάζα
Απεικόνιση
Ακτινογραφίες. Ο γιατρός σας ή ο γιατρός του παιδιού σας πιθανότατα θα παραγγείλει ακτινογραφίες για να εξετάσει το υποκείμενο οστό.
Η ακτινογραφία συνήθως δείχνει μια οστική βλάβη που έχει αλλάξει το σχήμα και την αντοχή του οστού. Συνήθως, το οστό είναι διευρυμένο με ένα καθαρό κενό στη μέση και ο φλοιός του οστού (ισχυρό εξωτερικό στρώμα) είναι λεπτός.
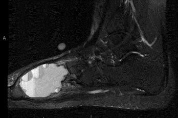
Αφού εξετάσει τις ακτινογραφίες, ο γιατρός μπορεί να παραγγείλει μαγνητική τομογραφία (MRI) ή, σε πολύ σπάνιες περιπτώσεις, αξονική τομογραφία (CT).

Μαγνητική τομογραφία (MRI). Οι σαρώσεις μαγνητικής τομογραφίας βοηθούν τους γιατρούς να προσδιορίσουν πού αρχίζει και πού τελειώνει ο όγκος, γεγονός που τους βοηθά να σχεδιάσουν τη θεραπεία.
Ενώ οι αξονικές τομογραφίες είναι καλύτερες στην απεικόνιση του οστού, οι μαγνητικές τομογραφίες είναι οι καλύτερες για την εξέταση του ιστού και του υγρού μέσα στην κύστη. Η κλασική εμφάνιση μιας ανευρυσματικής κύστης στην μαγνητική τομογραφία δείχνει επίπεδα υγρού-υγρού που αντιπροσωπεύουν αίμα και κυστικό υγρό που βρίσκονται σε στρώσεις στον όγκο των οστών.

Άλλες εξετάσεις
Εργαστηριακές εξετάσεις. Οι περισσότερες εξετάσεις αίματος δεν είναι χρήσιμες στη διάγνωση της ανευρυσματικής κύστης.
Βιοψία. Πρέπει να γίνει βιοψία για να επιβεβαιωθεί η διάγνωση μιας ανευρυσματικής κύστης. Η βιοψία είναι μια διαδικασία που χρησιμοποιείται για τη λήψη δείγματος ιστού για ανάλυση από έναν παθολόγο.
Υπάρχουν δύο τρόποι για να πραγματοποιηθεί η βιοψία:
- Βιοψία με βελόνα πυρήνα. Ο γιατρός τοποθετεί μια μικρή βελόνα μέσα από το δέρμα σας για να πάρει ένα μικρό δείγμα του οστού, το οποίο στη συνέχεια εξετάζεται με μικροσκόπιο.
- Ανοιχτή βιοψία. Εάν χρειάζεται μεγαλύτερο δείγμα, η βιοψία πραγματοποιείται σε χειρουργείο και ο γιατρός κάνει μια τομή για να λάβει το δείγμα οστού.
Γενετικός έλεγχος. Ένα γονίδιο που ονομάζεται USP6 έχει βρεθεί ότι ευθύνεται για πολλές ανευρυσματικές οστικές κύστεις. Το οστό μπορεί να ελεγχθεί για την παρουσία USP6 από τον παθολόγο ως μέρος της βιοψίας για να βοηθήσει στη διάγνωση.
Θεραπεία
Υπάρχουν πολλές επιλογές θεραπείας για όγκους των οστών και των μαλακών ιστών. Επομένως, είναι σημαντικό να μιλήσετε με τον γιατρό σας ή τον γιατρό του παιδιού σας, ο οποίος θα προσαρμόσει τη θεραπεία σας για το καλύτερο δυνατό αποτέλεσμα.
Χειρουργική
Η χειρουργική επέμβαση είναι η κύρια θεραπεία για ανευρυσματικές κύστεις και οι περισσότεροι ασθενείς υποβάλλονται σε αφαίρεση του όγκου. Υπάρχουν αρκετές χειρουργικές επιλογές:
Απόξεση και οστικό μόσχευμα
- Ο χειρουργός χρησιμοποιεί εργαλεία για να ξύσει τον όγκο από το οστό. Στόχος είναι να αφαιρεθεί όσο το δυνατόν μεγαλύτερο μέρος του όγκου χωρίς να προκληθεί βλάβη στο υγιές οστό ή στην πλάκα ανάπτυξης.
- Για να μειωθεί η πιθανότητα επανεμφάνισης του όγκου, ο χειρουργός μπορεί να χρησιμοποιήσει ένα γλύφανο, ένα λέιζερ, υπεροξείδιο του υδρογόνου, υγρό άζωτο ή φαινόλη για να προσπαθήσει να καταστρέψει τυχόν μικροσκοπικά καρκινικά κύτταρα.
- Μετά την αφαίρεση του όγκου, ο χειρουργός θα γεμίσει την άδεια τρύπα στο οστό με ένα οστικό μόσχευμα ή ένα υποκατάστατο οστικού μοσχεύματος. Το οστικό μόσχευμα μπορεί να ληφθεί από τον ασθενή (αυτομόσχευμα) ή από έναν δότη (αλλομόσχευμα). Το οστικό μόσχευμα δότη έχει αφαιρέσει όλα τα ζωντανά κύτταρα και περιέχει μόνο την ορυκτή δομή του οστού. Δεν απαιτεί, επομένως, ειδική αντιστοίχιση ή λήψη φαρμάκων από τον λήπτη για την πρόληψη της απόρριψης. Το υποκατάστατο οστικού μοσχεύματος συνήθως παρασκευάζεται από φωσφορικό ασβέστιο ή θειικό ασβέστιο με άλλα μέταλλα που βοηθούν το σώμα να αναπτύξει νέο οστό.
- Μερικές φορές, ο χειρουργός χρειάζεται να στηρίξει το οστό με πλάκες και βίδες ή άλλο υλικό.
- Μερικές φορές, οι ασθενείς χρειάζεται να φορούν νάρθηκα, γύψο, νάρθηκα ή κηδεμόνα κατά την ανάρρωσή τους.

Ευρεία εκτομή
- Η χειρουργική επέμβαση με ευρεία εκτομή ή en bloc εκτομή περιλαμβάνει την αφαίρεση ενός μεγάλου τμήματος του οστού όπου βρίσκεται η κύστη.
- Η χειρουργική επέμβαση με ευρεία εκτομή συνήθως προορίζεται για ανευρυσματικές κύστεις που έχουν προκαλέσει σοβαρή οστική καταστροφή ή έχουν υποτροπιάσει (επανεμφανιστεί) πολλές φορές.
- Η χειρουργική επέμβαση με ευρεία εκτομή συνήθως απαιτεί την ανακατασκευή ή την ανακατασκευή του οστού με ένα μεγάλο κομμάτι οστού δότη (αλλομόσχευμα) ή μεταλλικό οστό ή αντικατάσταση άρθρωσης.
Σκληροθεραπεία ή Ακτινοθεραπεία (Ακτινοθεραπεία)
Η σκληροθεραπεία και η ακτινοθεραπεία εφαρμόζονται μόνο σε μεγάλους, δύσκολα προσβάσιμους όγκους που θα ήταν δύσκολο να αφαιρεθούν με ασφάλεια κατά τη διάρκεια της χειρουργικής επέμβασης.
Και οι δύο θεραπείες λαμβάνονται συνήθως υπόψη για τις ανευρυσματικές κύστεις στη σπονδυλική στήλη, το ιερό οστό ή τη λεκάνη. Για παράδειγμα, εάν εσείς ή το παιδί σας έχετε ανευρυσματική κύστη στο ιερό οστό (το οστό στη βάση της σπονδυλικής στήλης), η χειρουργική επέμβαση θα μπορούσε ενδεχομένως να προκαλέσει βλάβη σε σημαντικά νεύρα που ελέγχουν τα πόδια, το έντερο ή την ουροδόχο κύστη και οι εναλλακτικές θεραπείες μπορεί να είναι μια ασφαλέστερη επιλογή.
Σκληροθεραπεία
Αυτή η ελάχιστα επεμβατική διαδικασία περιλαμβάνει την άμεση έγχυση ενός διαλύματος στον όγκο ή στα αιμοφόρα αγγεία κοντά στον όγκο. Υπάρχουν πολλές διαφορετικές ουσίες που μπορούν να εγχυθούν, όπως η πολυδοκανόλη, η δοξυκυκλίνη ή η αλκοόλη. Αυτή η διαδικασία επιτρέπει στους ασθενείς να πάνε σπίτι την ίδια ημέρα, αλλά συχνά απαιτούνται πολλαπλές θεραπείες για την εξάλειψη του όγκου.
Ακτινοθεραπεία
Η ακτινοθεραπεία χρησιμοποιεί έναν τύπο ακτινοβολίας για να στοχεύσει τα καρκινικά κύτταρα. Αυτές οι υψηλές δόσεις ακτινοβολίας συνήθως σκοτώνουν τον όγκο και αποτρέπουν την υποτροπή του.
Αποθεραπεία και Παρακολούθηση
Ο στόχος της θεραπείας είναι η εξάλειψη της οστικής κύστης, η βελτίωση του πόνου και η δυνατότητα στο οστό να αναπτυχθεί πιο φυσιολογικά. Ο χρόνος ανάρρωσης μετά την επέμβαση μπορεί να ποικίλλει ανάλογα με το μέγεθος και τη θέση της ανευρυσματικής κύστης. Μπορεί να χρειαστούν αρκετοί μήνες (συνήθως 3 έως 6 μήνες) για να επουλωθεί το οστό.
Δυστυχώς, ο όγκος των οστών μπορεί να επανεμφανιστεί. Οι ανευρυσματικές κύστεις επανεμφανίζονται περίπου στο 25% των περιπτώσεων. (Αυτό σημαίνει ότι ο όγκος επανεμφανίζεται σε 1 στους 4 ασθενείς). Επομένως, είναι σημαντικό για εσάς ή το παιδί σας να παρακολουθείτε τον χειρουργό σύμφωνα με το πρόγραμμα για να ελέγξετε την κατάλληλη επούλωση και ανάρρωση.
Αφού επουλωθεί το οστό, οι χειρουργοί συχνά ξεκινούν την παρακολούθηση, μια διαδικασία παρακολούθησης του οστού με τον όγκο με την πάροδο του χρόνου. Ο χειρουργός μπορεί να παρακολουθεί την ανευρυσματική κύστη σας ή του παιδιού σας με ακτινογραφίες κάθε 3 έως 6 μήνες για να βεβαιωθεί ότι ο όγκος δεν θα επανεμφανιστεί.
Ενώ δεν υπάρχει καθορισμένη κατευθυντήρια γραμμή, η παρακολούθηση μπορεί να συνεχιστεί για 2 χρόνια ή μέχρι ο ασθενής να φτάσει στην σκελετική ωριμότητα (το οστό να έχει ολοκληρωθεί η ανάπτυξη).









